Myxomatous Mitral Valve DiseaseCanineArrhythmiaMMVD stage B1Supraventricular arrhythmiaPremature atrial complex (PAC/APC)
Arrhythmia in a Cavalier King Charles Spaniel with MMVD Stage B1
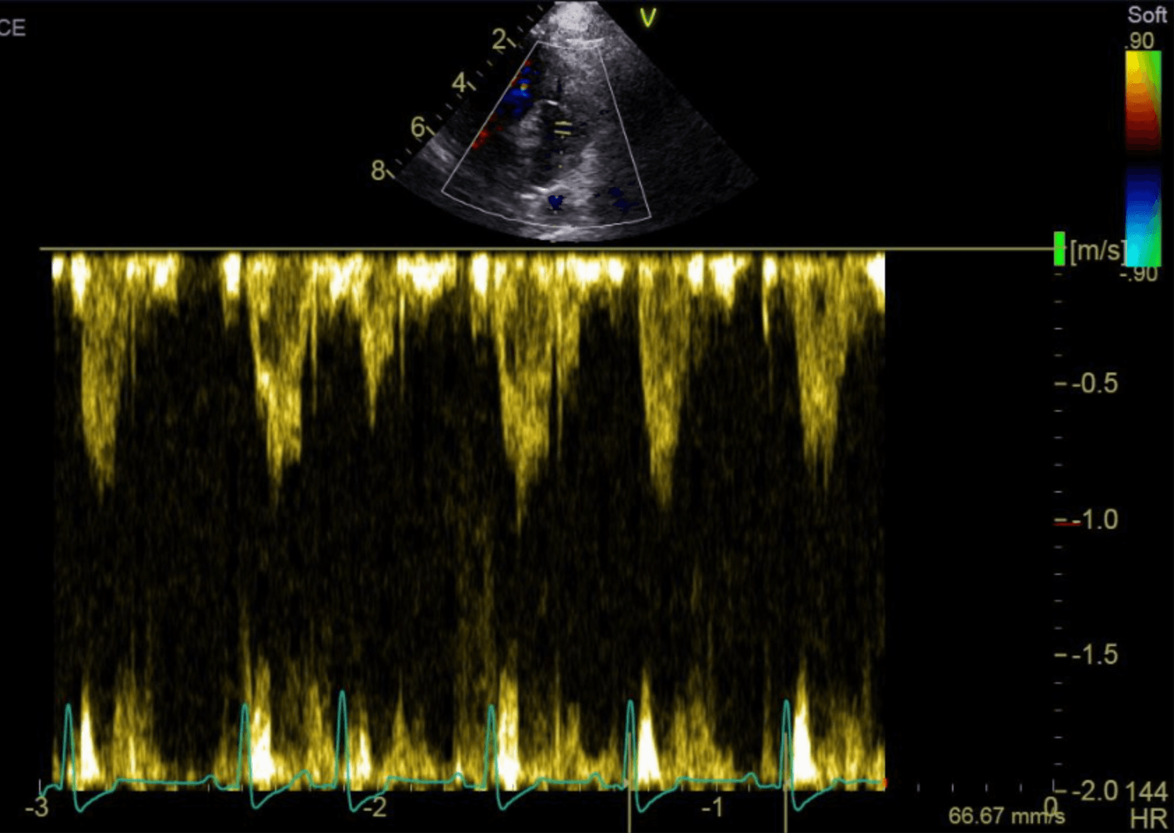
Premature atrial complexes in a Cavalier King Charles Spaniel with myxomatous mitral valve disease (stage B1).
February 9, 2026
15 min read
38 views
